Soluciones de ortodoncia para cada sonrisa

Ya seas niño, adolescente o adulto, ofrecemos opciones de tratamiento personalizadas que se adaptan a tus necesidades y estilo de vida.

Dental models of upper and lower teeth with colorful braces on the left set and blue braces on the right set, positioned against a dark background.

Brackets tradicionales

La opción más confiable para casos de alineación complejos. Los brackets tradicionales ahora son más pequeños, estilizados y cómodos que nunca. Puedes elegir entre brackets metálicos o cerámicos transparentes según tu estilo y tus objetivos de tratamiento.

Two dental models with braces on teeth, placed on a white surface. One model is a closed mouth and the other is open, showing the upper teeth with braces. There is a green plant with large leaves in the background.

Brackets estéticos (claros)

Los brackets cerámicos utilizan soportes del color del diente o transparentes que se mezclan de manera más natural con tu sonrisa. Funcionan igual que los brackets metálicos tradicionales, pero ofrecen una opción más discreta y estética para adolescentes y adultos. Son ideales para quienes desean una alineación efectiva con una apariencia menos visible.

Dentist showing a dental model to a young girl patient and her mother in the dental office

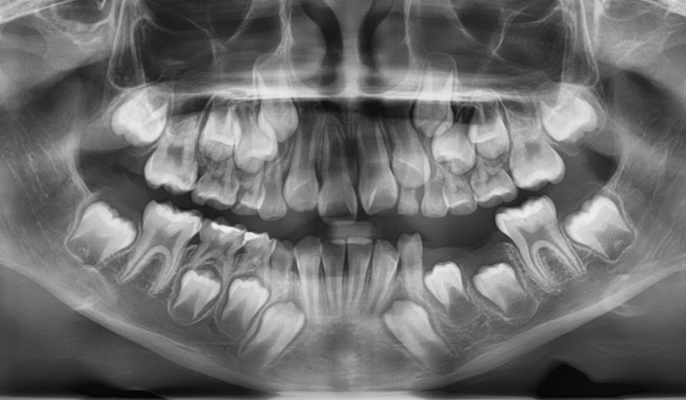
Tratamiento ortodóntico temprano (a partir de los 7 años)

Las evaluaciones tempranas nos ayudan a detectar posibles problemas antes de que se conviertan en algo mayor. Guiamos el crecimiento de la mandíbula, creamos espacio para los dientes que van a erupcionar y sentamos las bases para una sonrisa hermosa y saludable.

X-ray image of a child's teeth showing both primary and developing permanent teeth.

Seguimiento y control

Las visitas regulares de seguimiento y monitoreo permiten a la ortodoncista evaluar el crecimiento de la mandíbula, la erupción de los dientes y el desarrollo de la mordida, para iniciar el tratamiento en el momento más efectivo. Este enfoque preventivo ayuda a evitar que los problemas empeoren y puede acortar o simplificar el tratamiento futuro. Contar con una especialista supervisando estas visitas garantiza una evaluación experta, una detección temprana y un plan personalizado adaptado al desarrollo único de tu hijo o hija.

Panoramic dental X-ray showing teeth, roots, and braces wire in the lower jaw.

Mantenedores de espacio

Los mantenedores de espacio ayudan a conservar el espacio que queda cuando un diente de leche se pierde prematuramente, guiando a los dientes permanentes para que erupcionen en la posición correcta. Esto previene apiñamiento, desplazamientos y problemas ortodónticos más complejos en el futuro. Contar con una ortodoncista que supervise este proceso garantiza un diseño, ajuste y monitoreo precisos para obtener los mejores resultados a largo plazo.

Close-up of a child's open mouth showing upper and lower teeth, with dental tools at the sides.

Aparatos para hábitos

Los aparatos para hábitos ayudan a desalentar suavemente conductas como chuparse el dedo o empujar la lengua, que pueden afectar el crecimiento de la mandíbula y la alineación de los dientes. Al interrumpir estos hábitos a tiempo, se previenen futuras complicaciones ortodónticas y se favorece un desarrollo oral más saludable. La supervisión de una ortodoncista garantiza un ajuste adecuado, comodidad y resultados efectivos a largo plazo.

Dentist showing a dental model to a young girl in a dental office with a monitor displaying dental images in the background.

Expansor

Un expansor maxilar ensancha el maxilar superior para crear el espacio adecuado para los dientes y mejorar la forma en que encajan las mandíbulas superior e inferior. Puede ayudar a prevenir el apiñamiento, las mordidas cruzadas y futuros problemas ortodónticos. Esta intervención temprana favorece un crecimiento facial más saludable y contribuye a una sonrisa más equilibrada.

Inside of a person's mouth showing upper teeth with orthodontic braces with metal wires and pink elastic ties.

Ortodoncia para adolescentes

¡La vida de un adolescente es muy ocupada! Ofrecemos planes de tratamiento que se adaptan a tu horario y estilo de vida, y que acompañan tus actividades, deportes, selfies y todo lo demás.

Close-up of a person's mouth showing braces on the upper and lower teeth, with some braces having pink bands.

Ortodoncia para adultos

Nunca es tarde para amar tu sonrisa. Muchas personas adultas eligen el tratamiento de ortodoncia como una manera efectiva de mejorar su confianza y su salud oral.

X-ray of a human skull showing a fracture in the jaw and dental issues.

Ortodoncia quirúrgica ortognática

La ortodoncia quirúrgica ortognática combina brackets con cirugía de mandíbula para corregir desequilibrios significativos de mordida, mandíbula o faciales que no pueden tratarse solo con ortodoncia. Este enfoque coordinado mejora tanto la función como la estética facial. Trabajando en estrecha colaboración con un equipo quirúrgico, la ortodoncista garantiza una planificación precisa para lograr resultados estables y duraderos.

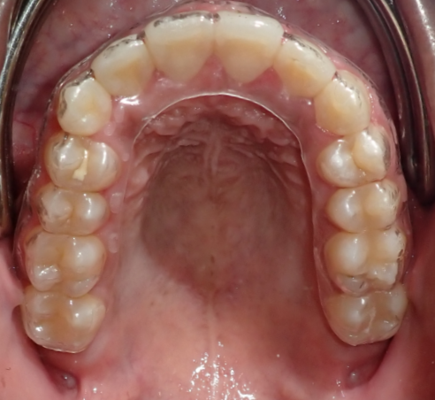
Close-up of the upper dental arch showing teeth and gums with a partial orthodontic retainer.

Retenedores y cuidado post-tratamiento

Una vez que se retiren tus brackets, te proporcionaremos retenedores personalizados y orientación para mantener tu sonrisa en su mejor estado durante muchos años.